Blog Archives
London Doctors Pioneer Treatment of Hypertension-Causing Adrenal Adenomas

Aldosterone is a steroid hormone produced in the adrenal glands. It regulates potassium and sodium exchange in cells, so it can have a drastic long-term effect on blood pressure. Studies have found that between 5% and 20% of cases of high blood pressure is caused by high aldosterone levels caused by benign growths on the adrenal glands. These growths can be classified as adrenal adenomas or bilateral hyperplasias. Other conditions can be caused by these growths, including Cushing’s syndrome and hyperandrogenism.

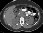
Hyperaldosteronism has been diagnosed historically by Adrenal Venous Sampling. It’s accomplished by running a catheter through the femoral vein up to each of the adrenal veins and sampling blood as it leaves the adrenal tissue. The amount and proportions of cortisol and aldosterone are compared. The method carries a risk of producing venal thrombosis and misdiagnosis is possible. If a diagnosis is made adenomas can be removed by laproscopic surgery. Bilateral hyperplasias can’t be removed surgically and need to be treated by medication and lifestyle. The CT images at the bottom of this post show the difference between the two, and demonstrate how difficult visual diagnosis can be.
In a paper published a few days ago in the Journal of Hypertension 25 patients were recruited for an experimental procedure to locate and remove adrenal adenomas from patients suffering from primary aldosteronism. Doctors used a Carbon-11 Metomidate radioactive tracer to mark adenomas for PET-CT identification. Where a diagnosis couldn’t be made via the PET scan, venous sampling was used as a second-line test. The PET process achieved 80% diagnostic accuracy, venous sampling achieved 75% accuracy, and the two combined were 100% accurate.
Twenty of the patients were able to be surgically treated. All of these patients saw their blood aldosterone levels return to normal. For five of them their blood pressure went down to normal levels. Ten others experienced some improvement, and five had no clinical improvement their blood pressure, giving an overall efficacy of 75%. None of the patients reported long term side effects. The surgical procedure itself was took about 10 minutes to carry out.
The study only involved a few patients so further studies are needed, but appears very promising for patients suffering high blood pressure. Patients with Cushing’s syndrome, hyperandrogenism, or hyperfeminization could also potentially benefit.

